-
-
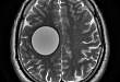
2017.09.14病例挑战:颅内囊性病变
颅内囊性病变在临床中较为常见,引起颅内病变的种类较多,根据起源部位的不同大多可以缩小鉴别诊断的范围。
-
-
2017.08.17吸氧不简单 五大要点常常被忽视
吸氧是临床治疗危重病患者最基本的治疗手段。无论是门诊急诊,还是病房,ICU,首要的就是吸氧,导管、面罩,一根管子连接墙壁氧源,看似十分简单,但其中学问也不少。
-
-
2017.08.02临床常用解热镇痛抗炎药物大盘点
临床常用非甾体抗炎药的特点总结。
-
-
2017.02.14说说那些改善性福指数的药物
今天来说说那些避免「尴尬」提高「性福度」 的药物。
-
-
2016.12.30病例问答:典型串珠样脑膜强化考虑哪种诊断?
近期,Neurology杂志发表了一例由日本学者Kawai等报道的病例。患者表现为慢性头痛,影像学显示串珠样脑膜强化。欲知诊断为何,请看病例报道。
-
-
2016.12.29经典病例学习:椎动脉夹层动脉瘤破裂出血 1 例
近期,Neurology杂志发表了一例由美国学者Siegler等报道的椎动脉夹层动脉瘤患者,临床表现典型。
-
-
2016.12.15如何循序渐进地诊断神经科病例
诊断的思路有很多模式,本文详细介绍的是[step by step]层层递进的方法诊断神经科病例。
-
-
2016.12.08影像读片及解析 2:头痛 6 例
6 个典型案例,你能诊断出来吗?
-
-
2016.12.06常见深部真菌感染如何有效用药?
深部真菌感染如果不及时治疗,那就可能「一着不慎,满盘皆输」。
-
-
2016.11.16典型病例学习:结核性脑脓肿一例
近期,AJNR杂志发表了由巴基斯坦学者Fatima Mubarak等报道的一例典型的结核性脑脓肿的病例。
